Bigpicture
Bigpicture is een publiek-privaat partnerschap op het gebied van pathologie. Bigpicture brengt academische instellingen, kleine en middelgrote ondernemingen, publieke organisaties, farmaceutische bedrijven en een groot netwerk van partners samen.
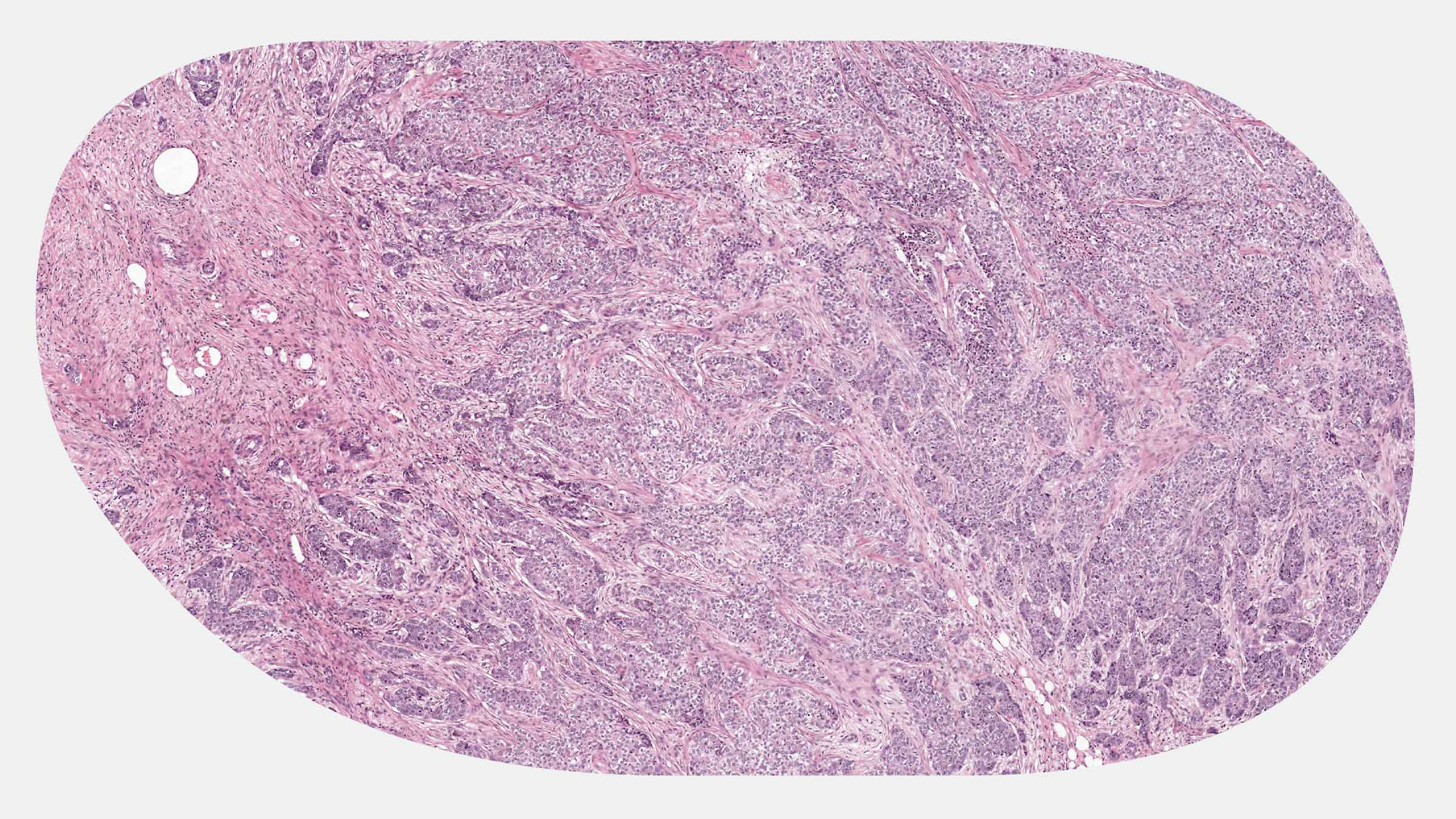
Traditioneel onderzoeken pathologen lichaamsweefsels op een glasplaatje onder een microscoop, om zo ziekten te diagnosticeren en behandelingsopties te begeleiden. Tegenwoordig worden deze glasplaatjes gescand in zeer hoge resolutie, waardoor digitale beeldanalyses mogelijk zijn.
Bigpicture zet een platform op dat een ongekende hoeveelheid pathologiebeelden en kunstmatige intelligentie-algoritmen samenbrengt. Met deze grote hoeveelheid data wil Bigpicture AI trainen zodat het in de toekomst beter kan ondersteunen bij diagnosticeren.
Knoeff gaf het logo een opfrisbeurt en ontwikkelde een passende identity voor Bigpicture.
Uitgangspunten
Bigpicture gaat over GROOT:
-
GROTE database; drie miljoen scans van glasplaatjes
-
GROTE bestanden; de glasplaatjes in worden zeer hoge resolutie gescand
-
GROOT netwerk van instellingen, ondernemingen en partners.
Bigpicture gaat over netwerken en verbinden
- Netwerk van instellingen, ondernemingen en partners
- Bigpicture verbindt twee werelden; pathologie en AI
Annotatie
- Scans worden voorzien van kanttekeningen, beoordelingen en commentaar
Kleur
Hematoxyline-eosinekleuring is de meest gebruikte methode om lichaamsweefsel op glasplaatjes te kleuren. Deze kleuring kenmerkt zich door blauwpaars en roze kleuren.
Logo en identity
Bovengenoemde uitgangspunten komen mooi samen in het logo. GROOT zit natuurlijk al in de naam maar dat wordt nog versterkt door het vet te maken. De organische vorm verwijst naar lichaamsweefsels, het netwerkje naar verbinden en de annotaties op de glasplaatjes, het kleurgebruik naar de meest gebruikte kleuring in de pathologie. Al deze elementen zijn verder doorgezet in de ontwikkeling van de identity en uitwerking naar diverse huissstijlmiddelen.
Het resultaat is een frisse en eigentijdse identity die Bigpicture helpt zich te manifesteren in het nieuwe gebied dat zich ergens bevindt tussen en ín de wereld van pathologie en kunstmatige intelligentie.

